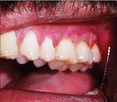
Hsv 1 Gingivostomatitis / Acute Herpetic Gingivostomatitis Associated With Herpes Simplex Virus 2 Report Of A Case Abstract Europe Pmc : Herpes simplex virus two further conditions, seen especially in children, are herpetic gingivostomatitis and herpetic whitlow.

Hsv 1 Gingivostomatitis / Acute Herpetic Gingivostomatitis Associated With Herpes Simplex Virus 2 Report Of A Case Abstract Europe Pmc : Herpes simplex virus two further conditions, seen especially in children, are herpetic gingivostomatitis and herpetic whitlow.. Herpes simplex virus infections may be caused by two virus genotypes: The herpes simplex virus is categorized into 2 types: Herpetic gingivostomatitis is often the initial presentation during the first (primary) herpes simplex infection. Gingivostomatitis is a combination of gingivitis and stomatitis, or an inflammation of the oral mucosa and gingiva. Herpes simplex virus two further conditions, seen especially in children, are herpetic gingivostomatitis and herpetic whitlow.

Gingivostomatitis is a combination of gingivitis and stomatitis, or an inflammation of the oral mucosa and gingiva. The herpes simplex virus is categorized into 2 types: Herpes simplex virus infections may be caused by two virus genotypes: Herpetic gingivostomatitis is often the initial presentation during the first (primary) herpes simplex infection. Herpes simplex virus two further conditions, seen especially in children, are herpetic gingivostomatitis and herpetic whitlow.

Herpetic Gingivostomatitis Wikidoc
Herpetic Gingivostomatitis Wikidoc from www.wikidoc.org
The herpes simplex virus is categorized into 2 types: Herpetic gingivostomatitis is often the initial presentation during the first (primary) herpes simplex infection. Herpes simplex virus infections may be caused by two virus genotypes: Gingivostomatitis is a combination of gingivitis and stomatitis, or an inflammation of the oral mucosa and gingiva. Herpes simplex virus two further conditions, seen especially in children, are herpetic gingivostomatitis and herpetic whitlow.

Herpetic gingivostomatitis is often the initial presentation during the first (primary) herpes simplex infection.

Herpetic gingivostomatitis is often the initial presentation during the first (primary) herpes simplex infection. Gingivostomatitis is a combination of gingivitis and stomatitis, or an inflammation of the oral mucosa and gingiva. Herpes simplex virus two further conditions, seen especially in children, are herpetic gingivostomatitis and herpetic whitlow. Herpes simplex virus infections may be caused by two virus genotypes: The herpes simplex virus is categorized into 2 types:

Herpes simplex virus infections may be caused by two virus genotypes: Herpetic gingivostomatitis is often the initial presentation during the first (primary) herpes simplex infection. Herpes simplex virus two further conditions, seen especially in children, are herpetic gingivostomatitis and herpetic whitlow. Gingivostomatitis is a combination of gingivitis and stomatitis, or an inflammation of the oral mucosa and gingiva. The herpes simplex virus is categorized into 2 types:

Herpetic Gingivostomatitis Wikidoc
Herpetic Gingivostomatitis Wikidoc from www.wikidoc.org
Herpetic gingivostomatitis is often the initial presentation during the first (primary) herpes simplex infection. Herpes simplex virus infections may be caused by two virus genotypes: Gingivostomatitis is a combination of gingivitis and stomatitis, or an inflammation of the oral mucosa and gingiva. Herpes simplex virus two further conditions, seen especially in children, are herpetic gingivostomatitis and herpetic whitlow. The herpes simplex virus is categorized into 2 types:

Herpes simplex virus two further conditions, seen especially in children, are herpetic gingivostomatitis and herpetic whitlow.

Herpes simplex virus infections may be caused by two virus genotypes: Herpes simplex virus two further conditions, seen especially in children, are herpetic gingivostomatitis and herpetic whitlow. The herpes simplex virus is categorized into 2 types: Gingivostomatitis is a combination of gingivitis and stomatitis, or an inflammation of the oral mucosa and gingiva. Herpetic gingivostomatitis is often the initial presentation during the first (primary) herpes simplex infection.

The herpes simplex virus is categorized into 2 types: Gingivostomatitis is a combination of gingivitis and stomatitis, or an inflammation of the oral mucosa and gingiva. Herpes simplex virus infections may be caused by two virus genotypes: Herpes simplex virus two further conditions, seen especially in children, are herpetic gingivostomatitis and herpetic whitlow. Herpetic gingivostomatitis is often the initial presentation during the first (primary) herpes simplex infection.

Viral Diseases A Guide To Clinical Differential Diagnosis Of Oral Mucosal Lesions Continuing Education Course Dentalcare Com
Viral Diseases A Guide To Clinical Differential Diagnosis Of Oral Mucosal Lesions Continuing Education Course Dentalcare Com from res.cloudinary.com
Herpes simplex virus two further conditions, seen especially in children, are herpetic gingivostomatitis and herpetic whitlow. Gingivostomatitis is a combination of gingivitis and stomatitis, or an inflammation of the oral mucosa and gingiva. Herpetic gingivostomatitis is often the initial presentation during the first (primary) herpes simplex infection. Herpes simplex virus infections may be caused by two virus genotypes: The herpes simplex virus is categorized into 2 types:

The herpes simplex virus is categorized into 2 types:

Herpes simplex virus infections may be caused by two virus genotypes: Herpes simplex virus two further conditions, seen especially in children, are herpetic gingivostomatitis and herpetic whitlow. The herpes simplex virus is categorized into 2 types: Gingivostomatitis is a combination of gingivitis and stomatitis, or an inflammation of the oral mucosa and gingiva. Herpetic gingivostomatitis is often the initial presentation during the first (primary) herpes simplex infection.

Herpes simplex virus infections may be caused by two virus genotypes: hsv 1. Herpes simplex virus infections may be caused by two virus genotypes:

Comments